Blog
Szilikonos fogsor?...
Naponta keresnek meg bennünket azzal a kérdéssel, hogy készítünk-e "szilikonos fogsort" ? A válasz: igen, de NEM AJÁNLJUK!
Ilyenkor el szoktuk magyarázni:
Szilikonos fogsor, mint olyan, nem létezik. Amennyiben a protézis szilikonból készülne, alkalmatlan lenne a rágásra, mert terhelés hatására a fogak rugóznának szájban.
/Ez már nem szokott tetszeni a pácienseknek, mert ők éppen úgy képzelték el, hogy puha az egész./
Szilikonos talprész létezik, de!...
- ideiglenes, sebgyógyulás utáni, néhány hetes hordási időre lett kifejlesztve
- nem tartós /a kemény és a puha anyag elválik egymástól/
- nem higiénikus /gombák, baktériumok gyűjtő helye/
- nem lesz tőle stabilabb a fogsor és nem fog jobban tapadni sem. Ez a pontos lenyomatvételi technika függvénye.
EGYETLEN esetben tartjuk indokoltnak a készítését, amennyiben valakinek hiper érzékeny az ínye és nem viseli el a rágáskor keletkező protézis okozta nyomást.
Erre az esetre fejlesztettek ki egy tartósan hordható puha anyagot, de a protokoll szerint fél évente cserélni kell! /Ez jelentős költséggel jár, általában nem cserélteti senki./
Az internetről rendelt "puha", mindenki szájába illő fogsorokról pedig inkább ne is beszéljünk.
A konzultáción el szoktam mondani, amennyiben egy fogsor korrektül el van készítve, be van állítva, nem fog nyomni.
Ne erőltessük a "szilikonos fogsort", ha nem muszáj.
BioFIX INDIVIDUAL 3D talprész: "Az egyéni érték!"
Ezen protéziseink abban különböznek a többitől, hogy az elkészítésük teljesen személyre szabottan, EGYÉNI ÁLLKAPOCSÍZÜLETI MÉRÉS után történik!
Az állcsontok egymáshoz való térbeli helyzete tökéletesen pontosan meghatározható, a fogak anatómiai mérőpontok szerint kerülnek beépítésre és a végeredmény egy stabil, saját fogakhoz hasonló rágóképesség (körpályás mozgás) elérése.
"Mert egy jó fogsor mindenkinek jár!..."
Egy kis természetesség...
Sokan feltették már nekünk azt a kérdést, hogy "Miért tűnnek olyan egyformának a kivehető fogsorok?"
Ugye? Másnak is feltűnt a "bolti fog kinézet"...
Amennyiben igény van rá, hihetetlen nagy örömmel teszünk eleget a természetes megjelenés iránti kívánalmaknak, mind a műíny kialakítás, mind a fogak élethű megjelenését tekintve.
Emlékszik még arra, amikor még meg voltak a saját fogai?
(Ilyenkor mindenki arra emlékszik, hogy szép hófehér szabályos fogai voltak, pedig DEHOGY!)
A saját fogaink soha nem azonos színűek! Mindig van színbeli eltérés a fogak között, éppen ettől (is) lesz valódi a megjelenésük.
A műfogsorok fogai azonos színséma szerint máris művinek hatnak. Ezt elkerülendő, ugyanúgy, ahogy a műínyt is el lehet készíteni színátmenetes, természetes megjelenéssel, a protézis műfogai is karakterizálhatók, teljesen egyedi megjelenés érhető el minden esetben.
Sajnos ritkán kapunk erre lehetőséget, (mert mindenkinek szép szabályos és hófehér fogsora volt anno...) de szerencsére egyre nagyobb igény mutatkozik erre is, a fogsorok használhatóságán túl.
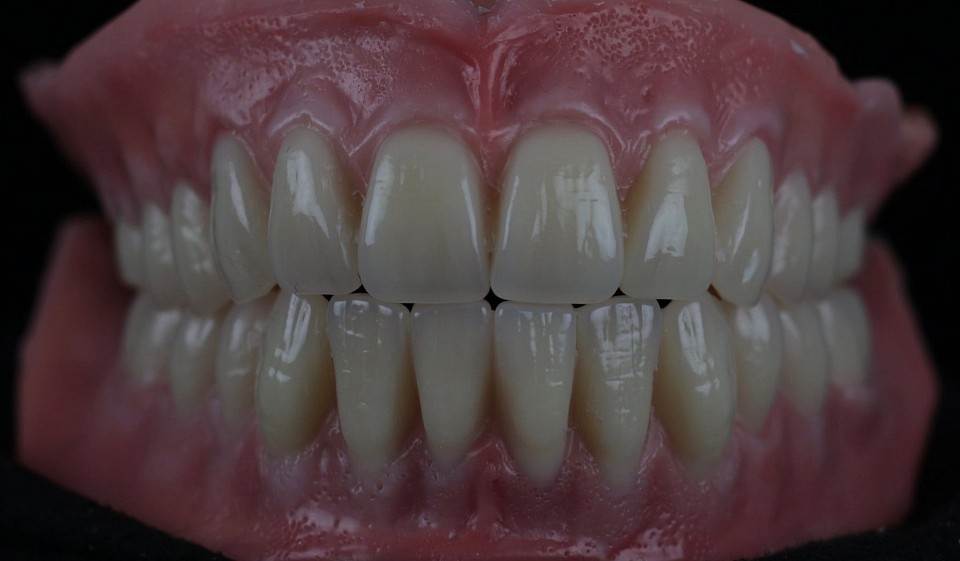
Érdemes megnézni a képet, ez a protézis teljesen természetes megjelenést kölcsönöz viselőjének. Senki nem gondolja, hogy műfogsort lát szájban!
Ez a poszt kivételesen nem a fogakról szól.
Annak idején egyik kedves tanárom említette anatómia órán, hogy
"Az a páciens, aki elveszítette a fogait, elsősorban nem a fogait, hanem az ARCÁT veszítette el!"
Akkor még ezt nem értettem...
Az útóbbi időben egyre inkább igyekszem beleásni magam az elvesztett fogak pótlásán túl a helyes, eredeti anatómiai viszonyok visszaállításába, kitüntetett figyelmet szentelve az állkapocs ízületnek, melynek rendellenességeivel sajnos nap mint nap találkozom.
Ennek oka többnyire egy régi, nem megfelelően elkészített fogsor, vagy annak hiánya.
Miután elkezdtük MÉRNI A HARAPÁST, csodálatos dolgok történtek!
Visszajött a páciensek régi arca! Megjelent az ajak a hölgyek nagy örömére. "Van mit végre kirúzsozni!" szokták mondani boldogan és tényleg!
Elég vmegnézni a képet és látható, hogy az addig cérnaszál ajak, a beesett, ráncos, öreges arc hogyan nyeri vissza eredeti formáját egy pontosan elkészített fogpótlásnak köszönhetően.Az, hogy ezekkel a fogsorokkal a betegek úgy rágnak féloldalasan, mint a saját fogukkal, már csak hab a tortán!...
Egy kis érdekesség... a PRÓBA!
A fotón a viaszban rögzített fogak láthatóak, még az utolsó előtti munkafázis, a próba előtt.
Ekkor még van lehetőség bármilyen változtatásra, igazításra.
Amennyiben egy igényes páciens nem "bugyirózsaszín", hanem egyedileg karakterizált, azaz individualizált műíny kialakítására tart igényt, akkor már a próbánál törekszünk megmutatni a várható végeredményt, már a viaszt is élethűen, ínyszerű megjelenéssel megformázva.
Önnek mi a véleménye? Sikerült?...
Valami elkezdődött!...
A magas minőségű fogpótlásra vágyó pácienseink kitörő lelkesedéssel fogadták legújabb technológiai újításunkat, a BioHARD protézist és rögtön le is csaptak rá. Az első munkák már folyamatban vannak, ezek közül egy már el is készült. Ezt szeretnénk bemutatni.
Amit erről az új technológiáról tudni kell:
- BioHARD protézis akkor készíthető, ha a betegnek még van legalább egy megmaradt foga, amihez kapcsolható a fogsor.
- A BioHARD protézis rugalmas, így könnyen készíthető belőle redukált szájpadlás, ami megkönnyíti a mindennapi fogsorviselést. (Kevésbé okoz hányingert, a szabadon maradt szájpadi rész jobb hőérzetet, magasabb komfortot biztosít.)
- A BioHARD protézis kombinálható akár BioSOFT talprésszel, ami a száj melegétől megpuhul, az ínyhez igazodik, így akár rugalmas és puha is lehet egyszerre a fogsor.
- A BioHARD protézisekbe az évek múlva kihúzásra kerülő saját fog helyére műfog pótolható, így nem kell új fogsort készíteni, hosszú távon kihordható.
Ebben az esetben teljes alsó fogatlan íny esetén BioFIX talprésszel ellátott fogsort az elérhető maximális stabilitásért, felülre a meglévő kerámia koronákhoz fog színű rugalmas kapcsokkal rögzített BioHARD protézist készítettünk, redukált, szájrózsás szájpadlással a fokozott ízérzékelés és komfortérzet érdekében. A páciens élete első kivehető fogpótlását kapta meg, így összehasonlítási alapja nem volt.
Boldog mosollyal jegyezte meg: Nagyon elégedett a végeredménnyel és őszintén bevallja, sokkal rosszabbra számított...
A BioHARD protézis tehát működik! Viselje egészséggel!
Mit jelent az, hogy "Old school" ?
A szótár szerint: "Angol kifejezés, általában bármire alkalmazhatod ami egy korábbi időszakból származik, és tisztelettel, megbecsüléssel tekintesz rá."
Egy 85 éves bácsika keresett meg bennünket azzal a kéréssel, hogy egy "old school" fogpótlást szeretne...
Igyekeztünk elmagyarázni neki, hogy van már szebb, van már jobb, de alapvetően ragaszkodott a régi dolgokhoz, így elkészítettük neki álmai fogsorát, természetesen megspékelve kopásálló Nanocompozit műfogakkal és egyénileg karakterizált (individualizált) műíny kialakítással.
Mindig a legjobbra törekszünk! Az egyéni adottságoknak (és kívánalmaknak) megfelelően, mindig igyekszünk a legmagasabb minőséget nyújtani. Ezért a legegyszerűbb, legolcsóbb protéziseinket is prémium kategóriájú fogtechnikai alapanyagokból készítjük el. A harapási pozíció rögzítése mindig egyénileg, arcíves regisztrációval történik, a későbbi állkapocs ízületi problémákat megelőzendő!
A fémvázas fogpótlásokat szoktam a konzultáción elsőként ajánlani a pácienseknek, mert a mai napig megállják a helyüket. Létjogosultságuk a dentális megtámasztásban keresendő (több szakma nem lesz). A kifogás minden esetben: "de hát azok a csúnya fém kapcsok látszanak". Igen, valóban. Tökéletes fogpótlás nincs. Ne felejtsük el, ahogy a neve is mondja, ez egy protézis. Soha nem lesz teljes értékű egyetlen fogpótlás sem. Viszont van lehetőség a fém kapcsokat fog színűre készíteni, ezzel máris nagy lépést téve az esztétikai elfogadhatóság felé.
Valahogy ezt mindig elfelejtik megemlíteni a pácienseknek...
Az "ELÉRHETŐ ÁLOM"...!
A fotón a LEGEGYSZERŰBB, LEGOLCSÓBB protézisünk látható, individualizált műíny kialakítással!
Sok eddigi kommentből vontuk le azt a konzekvenciát, hogy alapvetően a betegek már előre szörnyülködnek az áraktól. Szinte sztereotípiává vált, hogy olcsón csak "gagyi"-t, használhatatlan, semmire való fogsort lehet készíttetni, aki minőséget szeretne, annak mélyen kell a zsebbe nyúlnia. Bevalljuk őszintén, hogy ez valóban így is van.
Szeretnénk viszont megmutatni egy alternatívát, amire sokszor csak a konzultáción tudjuk felhívni a páciensek figyelmét. Valahogy ez a variáció senkinek nem jut eszébe...
Amikor kiderül, hogy nem fér bele a keretbe sem a BioFIX talprész, sem a BioSOFT talprész, Nanocompozit, vagy NaturalDent fogakról nem beszélve és nem fér bele még a fémhálós erősítés sem....
Ebben az esetben az ALAP fogsort készítjük el, -mint már egy régebbi bejegyzésünkben is kifejtettük, szigorúan harapás méréssel és magas minőségű alapanyagokból,- viszont ekkor sem kell lemondani a kiváló esztétikai élményről, mely feledteti, hogy műfogsor van a szájban, így magabiztos megjelenést kölcsönöz viselőjének.
Az individualizált műíny kialakítás már az ALAP protézisekhez is elérhető!Csak kérnie kell és bátran mosolyoghat!...
" Mosolyogni bárki tud, de a lényeg az, ami a mosoly mögött van! "...
Legutóbb a zen-buddhizmusról olvastam.
A zen-buddhizmus nem magyaráz semmit, nem analizál.
Nem mutat az almáról fényképet és elemzi azt, hanem azt mondja: "Szeretnéd megtapasztalni? Akkor tessék, itt egy alma, kóstold meg!" Azonnal a végeredményre mutat!
Manapság divat többet elemezni, beszélgetni, olvasni a dolgokról és kevesebbet tapasztalni, pedig az a legfontosabb. Ugye, hogy mennyire igaz?...
Mi ebben segítünk! Amennyiben szeretné megtapasztalni, hogy milyen egy ráharapáskor stabil fogsorral rágni, egy élethű megjelenésű műfoggal magabiztosan megjelenni, elérhetővé tesszük!
A fotókon egyik protézisünk, mely BioFIX talprésszel készült a nagyobb stabilitás elérése miatt, szájrózsás szájpadlással a komfortérzet növelése érdekében, fém erősítésekkel, illetve NaturalDent fogakkal az eredeti rágóképesség visszaállítására.
Ez a fogsor "arany középút", de a műfogak tekintetében nem enged kompromisszumot.
Mindig öröm, amikor eleget tudunk tenni az elvárt kívánalmaknak.
Van-e megoldás?...
Egyik régi betegünk azzal a kéréssel keresett meg, hogy elveszítette felső fogait és szeretne egy magas minőségű fogpótlást.
A hagyományos protézissel szemben ellenérzései vannak, implantálni az egészségügyi kockázatok miatt nem szeretne. Van e megoldás?...
Örömmel közöltük vele, hogy igen, van. Teljes felső protézis készült BioFIX talprésszel a kellő stabilitásért, vékonyított szájpadlással, melyet üvegszálas hálóval erősítettünk meg, illetve szájrózsás szájpadlás kialakítással, az ízérzékelés és a komfortérzet növelése miatt. Fogak természetesen a legmagasabb elvárásoknak is eleget tevő NaturalDent műfogak, melyekkel az eredeti rágóképesség visszaállítható, illetve a fogak felületi struktúrája az eredeti fogakéval megegyező, ezáltal természetes hatást kelt.
Egyedi kívánalom volt, hogy egy nagy mosolynál, illetve hátrahajtott fejjel való nevetésnél ne tűnjön fel, hogy "fogsor van a szájban"! Ennek individualizált műíny kialakítással tettünk eleget. A műíny színátmenetessége, illetve felületi struktúrája a természetes ínyhez hasonló, így összességében a fogpótlás harmonikus, magabiztos megjelenést kölcsönöz, nem kell azon aggódnia a betegnek, hogy "vajon ki veszi észre a műfogsorát?" Senki!
Ami nagyon nagy pozitívum, hogy a helyes, anatómikus fogfelállításnak köszönhetően a páciens azonnal tökéletes hangképzést produkált, mintha visszakapta volna a saját fogait.
Köszönjük a felkérést és a bizalmat. Viselje egészséggel!
Beteg vagy "páciens"?
A fogsorra vágyó pácienseink sokszor kikérik maguknak, ha "beteg"-nek szólítjuk őket.
Ez a poszt arról szól, amikor kiderül, hogy valóban azok!
A Magic Dental Studio-ban heti szinten találkozunk olyan "páciensekkel", akik egy magas minőségű műfogsorra vágynak, sokszor egy használhatatlan és soha nem hordott, vagy egy tizen- huszon- éve szájban lévő, túlhordott protézis után...
Innen érdekes a dolog!
A régi fogsor fogainak kopása, illetve a fogsor túlhordása (vagy nem hordása) állkapocs ízületi elváltozásokat okoz. Erre sok esetben nem derül fény, hiszen a napi valóság az, hogy beleharap a beteg egy viaszba, aztán kap egy fogsort, amit "szokjon meg"!
A Magic Dental Studio-ban igyekszünk minden munkát egyéni értéken készíteni, arcíves regisztráció és támasztócsapos harapási eljárás után. (Több szakma nem lesz).
Ilyenkor egyből feltárulnak a problémák, a betegek ilyenkor vallják be, hogy igen, néha kattog az állkapcsuk, néha fáj a fül környéki rész és igen, állandóan összeszorítják az állkapcsukat...
Van megoldás, csak (szintén a napi valóság, hogy ) sok helyen ez vagy nem derül ki, vagy ha ki is derül, nem fordítanak rá kellő figyelmet és főleg nem elég időt, hogy megoldják a problémát.
A megoldás ilyen esetekben egy terápiás fogsor készítése, amivel az eredeti állapot visszaállítható. majd ezek után egy valóban használható fogpótlás készíthető.
Természetesen ilyenkor a betegnek is együtt kell működnie, hiszen volt már rá precedens, hogy kiderült a probléma, a páciens viszont hallani sem akart arról, hogy ő terápiás fogsort viseljen. Pedig néhány hét alatt az állkapocs ízületi problémák nagy része orvosolható.
" Mert egy jó fogsor mindenkinek jár! "
Amit a műfogsorokról tudni érdemes…
Sokan kerülnek foghúzás után olyan helyzetbe, hogy nem tudják eldönteni, milyen fogpótlást válasszanak...
Az új “trend” az implantátumok erőltetése a hagyományos, maradó fogak lecsiszolása helyett. Sokan ebbe bele is mennek megmaradt fogaik megóvása érdekében.
Ám nem vesznek figyelembe egy olyan lehetőséget, amikor az implantációs műtétnek sem teszi ki magát az ember és a megmaradt fogait is megóvja: egy BioFLEX fogsorral!
Ez kivehető, antiallergén anyagból készült, rendkívül ellenálló, flexibilis, azaz rugalmas protézist jelent. Nagyszerűsége abban rejlik, hogy a megmaradt fogakhoz rugalmasan, műanyag kapcsokkal rögzül, sőt, ezek akár üvegszerűen átlátszók is lehetnek! Ezeket hívjuk “láthatatlan fogsornak”.
BioHARD protézisünk fog színű kapcsokkal rendelkezik és egy továbbfejlesztett elhorgonyzási technika miatt még ínykímélőbb, mint a BioFLEX protézisek...
Természetesen preferáljuk a hagyományos fémvázas protézisek készítését ( akár aranyból is ), hiszen ezek a mai napig megállják a helyüket és még mindig az egyik legjobb fogpótlásnak számítanak részleges foghiány esetén. A páciensek problémája általában a látható fém kapcsok esztétikájával szokott lenni, aki ezzel megbarátkozik, az egyik legjobb típust tudhatja magáénak részleges foghiány esetén.
Amikor már nincs valakinek egy foga sem, a hagyományos protézisek mellett érdemes tájékozódni a BioSOFT fogsorokról is! Ezek talprésze szilikonos, ez által magasabb komfortérzetet és sokkal kényelmesebb viselést biztosít. ( Ez a puha talprész a BioHARD protézis rugalmasságával akár össze is kombinálható!... )
Legújabb protézisünk a BioFIXfogsor, ami akkor jelent megoldást, amikor már nincs egyetlen saját fog sem. Ezekkel a fogsorokkal rendkívül jó tapadás érhető el, elhagyható a fogsorragasztó állandó használata és megszűnik a protézisek folyamatos mozgása, lötyögése a szájban!!! (Akinek van teljes alsó fogsora, az tudja, miről beszélek...)
Elérhető nálunk a BPS fogsor, szigorúan az eredeti svájci protokoll szerint, ami az emberek nagy részének elfogadható megoldást nyújt teljes fogatlanság esetén is.
Készítünk Gerber fogsort, ami jelenleg a legjobb, ami kivehető fogsorban elérhető. Ezek a fogsorok teljesen személyre szabottak, egyéni állkapocs ízületi mozgás mérése után készülnek és még a legproblémásabb esetekben is elfogadható rágóképességet biztosítanak a páciensnek.
Végül említsük meg a köztudatban lévő “fogsor”-t is, amit akár “nagyanyáink foga”-ként is említhetünk. Manapság ilyet már nagyon kevesen készíttetnek.
Természetesen bármelyik típusba beépíthetőek akár jobb minőségű műanyag, porcelán, vagy akár nanocompozit töltetű fogak.
Létezik olyan, anatómikusan tökéletesen kialakított műfog típus, amivel az ember szinte a saját fogait kapja vissza!
Itt el is érkeztünk egy lényeges kérdéshez: az árhoz...
A fogászat eme szegmenséről elmondható, hogy az ár valóban tükrözi a minőséget!
Jó tanácsként említem meg, mielőtt belevágnak egy ilyen pótlás elkészítésébe, alaposan tájékozódjanak, kibe helyeznek bizalmat, mert könnyen kiderülhet az elkészült protézisről, hogy ugyan a páciens thermoplasztikusnak, vagy kopásálló műfoggal vette, de az mégsem az!
Nem elhanyagolható a fogsorra adott valós garancia sem, hiszen hiába ígér valaki akár 5 évet, ha azt nem tartja be...
Mi minden általunk készített műfogsorra (a fogsor típusától függően) 2 vagy 3 év írásbeli, teljeskörű garanciát és 5 év szavatosságot vállalunk.
Minden protézishez minőségi tanúsítványt mellékelünk.
A tartós minőségnek köszönhetően az elmúlt 20 évben egyre több a visszajáró páciens, aki bizalmat szavaz a garantált minőségnek, a családias hangulatnak, - mi egyszerre mindig csak egy beteggel foglalkozunk, előre egyeztetett időpontban, amikor az ő problémája a legfontosabb számunkra is, -a valós garanciának és a legújabb technológiáknak.
Összegezve:
Tájékozódjon, MIELŐTT fogpótlás készítésébe kezd!
Javaslom, jöjjön el egy konzultációra...

