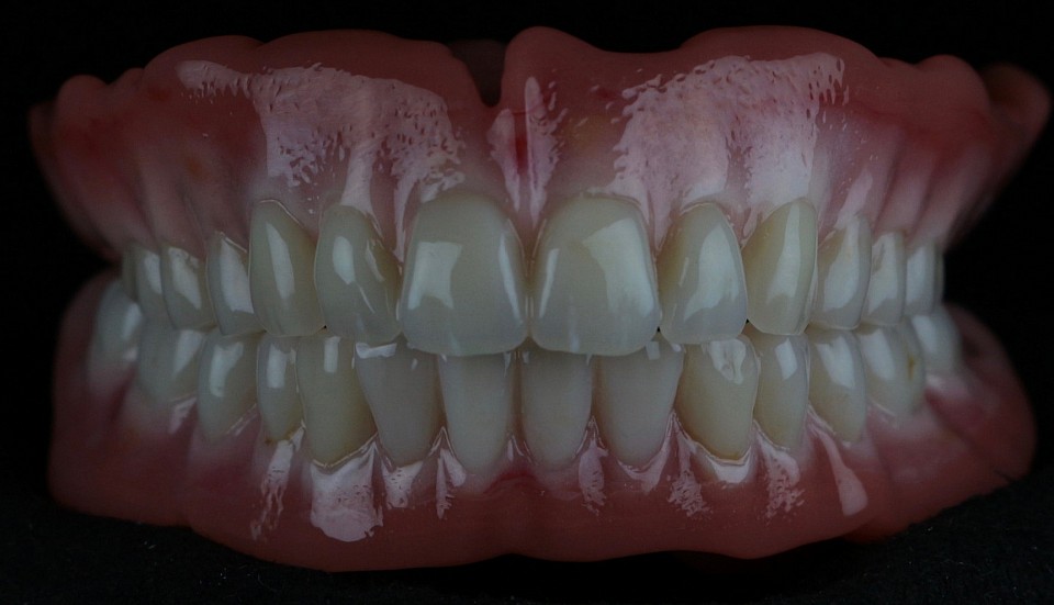
Kivehető fogpótlások
Alap műfogsor
Hagyományos módon, alap technikával készített fogpótlás, viszont nálunk ennél is elengedhetetlen a harapás mérése!
Jelenleg a legolcsóbb kivehető műfogsorunk.
Ennél is van lehetőség EXTRA hozzávalókra, legyen az erősítés, kopásálló műfog garnitúra, vékonyított, átlátszó, szájrózsás szájpadlás, vagy szilikon talprész.
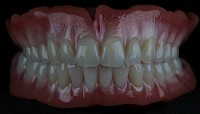
BPS műfogsor
A szigorú svájci protokoll alapján készített BPS teljes kivehető műfogsor.
Eredeti alapanyagokból, az eredeti technológia alapján, közép értéken készített fogpótlás.
Minden esetben tartalmazza a kompozit műfogakat és a szájrózsás szájpad kialakítást, a műíny karakterizálását viszont nem!
Azt csak indokolt esetben végezzük el.
BioFIX fogpótlás
A BPS műfogsorhoz hasonló, közép értéken, de minden esetben arcív használatával készített fogpótlás.
Itt már sokkal nagyobb a választási lehetőség a műfogak tekintetében.
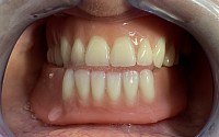
BioFIX INDIVIDUAL 3D fogpótlás
Mintha visszakapná a saját fogait...
Minden esetben egyéni értéken, egyéni állkapocs ízületi mozgás alapján elkészített fogpótlás.
Jelenleg a legjobb és legprecízebb megoldás, ami kivehető műfogsorban elérhető.
BioHARD fogpótlás
Rugalmas, de ráharapáskor kemény részleges műfogsor, melynek alapja egy fog színű váz, mely kombinálható akár a BioSOFT talprésszel is, így protézise nem csak rugalmas, hanem rugalmas és valóban puha is lesz.
Ajánlott első sorban azon pácienseknek, akik fém allergiásak, vagy egyszerűen csak esztétikai okokból nem szeretnének fém kapcsokat látni a kivehető fogpótlásukon.
A BioHARD fogpótlás készítésének feltétele, hogy még legyenek a páciensnek fogai, teljes kivehető fogpótlás készítésére nem alkalmas!
BioSOFT fogpótlás
Pihepuha lágyság...
A BioSOFT protézisek az íny felőli oldalon gerincközépen rendelkeznek egy puha, szilikon talprésszel kb. 1-1.5mm vastagságban, így téve a fogsorviselést sokkal komfortosabbá.
Ajánlani csak indokolt esetben szoktuk, egy jól elkészített protézis hagyományos, kemény anyagokból is probléma mentesen hordható kell, hogy legyen. Vannak olyan esetek, amikor valóban indokolt, ilyenkor mi sem zárkózunk el a készítésétől.
A BioSOFT talprész bármelyik típusú fogpótlásunkhoz EXTRAként választható, kivéve a BioFLEX fogsorokat.
A BioFLEX fogsorokkal technikailag nem megoldható a BioSOFT talprész kombinálása!
BioFLEX fogpótlás
Hajlékony, rugalmas, de ráharapáskor kemény részleges műfogsor.
Injektált technikával készül, első sorban akril allergiás pácienseknek ajánlott.
Feltétele, hogy a páciensnek legyenek még meglévő fogai, teljes fogsor készítésére nem javasolt.
Terápiás fogsor
Állkapocs ízületi problémák esetén, a végleges fogpótlás készítése előtt, maximum 3 hétig hordható terápiás protézis.

